Skip to content

Call Now: 925-553-7904

Text Now: 201-762-1339

Facebook page opens in new windowInstagram page opens in new windowTwitter page opens in new windowYelp page opens in new window
Smiles N Braces Family Dental
Cosmetic Dentistry – Implants – Orthodontics – Veneers – Sedation
Smiles N Braces Family Dental
  • Home
  • About Us
    • Meet Dr. Nazir
    • Meet The Team
    • Office Tour
    • Blog
    • Reviews
  • New Patients
    • About Orthodontics
    • Before and After
    • Types Of Braces
    • Financial Information
    • Orthodontic FAQs
    • Patient Forms
    • Virtual Consultation
    • Your First Visit
  • Services
    • Cosmetic Dentistry
      • Cracked Teeth
      • Dental Bonding
      • Lumineers
      • Smile Makeovers
    • Endodontic Treatment
      • Apicoectomy
      • Internal Bleaching
      • Post & Core
      • Pulp Regeneration
      • Root Canal Therapy
      • Traumatic Injuries
      • Vital Pulp Therapy / Pulpotomy
    • General Dentistry
      • Dental Bridge
      • Dental Cleanings
      • Dental Crowns
      • Dental Sealants
      • Digital X-Rays
      • Enamel Shaping
      • Fillings
      • Lingual Frenectomy
      • Mercury Safe And Mercury Free
      • Occlusal Disease Treatment
      • Sedation Dentistry
      • Sleep Apnea
      • Snoring
      • Tooth-Colored Fillings
    • Oral Surgery
      • Facial Infections
      • Facial Injury Repair
      • Guided Tissue Regeneration
      • Implant Restoration
      • Implant-Retained Dentures
      • Tooth Extractions
      • Wisdom Teeth Removal
    • Orthodontic Treatment
      • Clear Aligners
      • ClearCorrect Aligners
      • Emergency Care
      • Opal Seal
      • Orthodontic Mouthguards
      • Retention
      • Six Month Smiles®
    • Family Dentistry
      • BPA-Free Tooth-Colored Fillings
      • Infant Dentistry
      • Interceptive Orthodontics
      • Pit And Fissure Sealant
      • Space Maintainer
    • Periodontal Care
      • CloSYS Mouthwash
      • Gingivectomy
      • Guided Tissue Regeneration
      • Gum Contouring & Reshaping
      • Laser Therapy
      • Periodontal Cleaning
      • Periodontal Splint
      • PerioProtect
      • Scaling And Root Planing
    • Preventive Dentistry
      • AirFloss By Philips Sonicare
      • BreathRX
      • Custom Mouthguards
      • Occlusal Night Guards
      • Oral B Toothbrush
      • Oral Cancer Screenings
      • Silver Diamine Fluoride
      • Sonicare Toothbrush
      • Under Armour Mouthguards
      • Waterpik
    • Prosthodontics
      • Dental Implants
      • Flippers And Removable Partial Dentures
      • Full and Partial Dentures
      • Hybrid Prosthesis
      • Implant Restoration
      • Implant-Retained Dentures
      • Implant Retained Partials
  • Invisalign
    • Invisalign
    • Invisalign FAQ
    • Invisalign For Teens
  • Teeth Whitening
    • Teeth Whitening With Opalescence Go
    • Teeth Whitening Trays
  • Technology
    • Cone Beam 3D Imaging
    • Dental Crowns With CEREC
    • Digital X-Rays
  • Contact
    • Request An Appointment
  • Home
  • About Us
    • Meet Dr. Nazir
    • Meet The Team
    • Office Tour
    • Blog
    • Reviews
  • New Patients
    • About Orthodontics
    • Before and After
    • Types Of Braces
    • Financial Information
    • Orthodontic FAQs
    • Patient Forms
    • Virtual Consultation
    • Your First Visit
  • Services
    • Cosmetic Dentistry
      • Cracked Teeth
      • Dental Bonding
      • Lumineers
      • Smile Makeovers
    • Endodontic Treatment
      • Apicoectomy
      • Internal Bleaching
      • Post & Core
      • Pulp Regeneration
      • Root Canal Therapy
      • Traumatic Injuries
      • Vital Pulp Therapy / Pulpotomy
    • General Dentistry
      • Dental Bridge
      • Dental Cleanings
      • Dental Crowns
      • Dental Sealants
      • Digital X-Rays
      • Enamel Shaping
      • Fillings
      • Lingual Frenectomy
      • Mercury Safe And Mercury Free
      • Occlusal Disease Treatment
      • Sedation Dentistry
      • Sleep Apnea
      • Snoring
      • Tooth-Colored Fillings
    • Oral Surgery
      • Facial Infections
      • Facial Injury Repair
      • Guided Tissue Regeneration
      • Implant Restoration
      • Implant-Retained Dentures
      • Tooth Extractions
      • Wisdom Teeth Removal
    • Orthodontic Treatment
      • Clear Aligners
      • ClearCorrect Aligners
      • Emergency Care
      • Opal Seal
      • Orthodontic Mouthguards
      • Retention
      • Six Month Smiles®
    • Family Dentistry
      • BPA-Free Tooth-Colored Fillings
      • Infant Dentistry
      • Interceptive Orthodontics
      • Pit And Fissure Sealant
      • Space Maintainer
    • Periodontal Care
      • CloSYS Mouthwash
      • Gingivectomy
      • Guided Tissue Regeneration
      • Gum Contouring & Reshaping
      • Laser Therapy
      • Periodontal Cleaning
      • Periodontal Splint
      • PerioProtect
      • Scaling And Root Planing
    • Preventive Dentistry
      • AirFloss By Philips Sonicare
      • BreathRX
      • Custom Mouthguards
      • Occlusal Night Guards
      • Oral B Toothbrush
      • Oral Cancer Screenings
      • Silver Diamine Fluoride
      • Sonicare Toothbrush
      • Under Armour Mouthguards
      • Waterpik
    • Prosthodontics
      • Dental Implants
      • Flippers And Removable Partial Dentures
      • Full and Partial Dentures
      • Hybrid Prosthesis
      • Implant Restoration
      • Implant-Retained Dentures
      • Implant Retained Partials
  • Invisalign
    • Invisalign
    • Invisalign FAQ
    • Invisalign For Teens
  • Teeth Whitening
    • Teeth Whitening With Opalescence Go
    • Teeth Whitening Trays
  • Technology
    • Cone Beam 3D Imaging
    • Dental Crowns With CEREC
    • Digital X-Rays
  • Contact
    • Request An Appointment

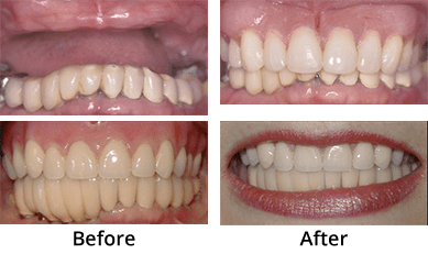
Before4

You are here:
  1. Home
  2. Before4
Copyright Smiles N Braces | Dental Websites by My Social Practice | HIPAA Notice of Privacy Practice | Accessibility Notice
Go to Top